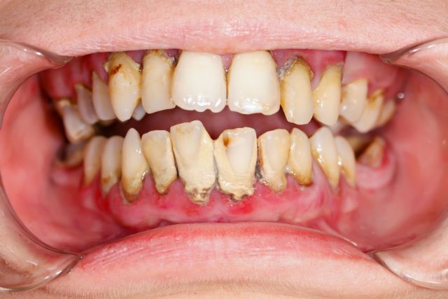
Tartar

Human mouth before dental treatment plaque on teeth.

Tartar